研究テーマ

研究テーマ Reserch Theme

獣医生理学研究室では現在さまざまな動物の「循環器」を中心とした研究を行っています。

ヒトもその他の動物も根本となる構造(生理)は共通しています。特に生命に必須な循環器の構造は独特で、それぞれ独自の進化を遂げている部分や保存される部分など多種多様です。循環器を通して生命の普遍的な仕組みを解き明かすのが目的です。

それ以外にも「病態生理学」および「生体情報の観測技術の開発」といったテーマでも研究を進めています。

学生のテーマは教員からの提案だけでなく、学生自身の希望も尊重いたします。ただし最終的に指導教員とともに、その研究が実現できる範囲のものであるのか、さらに研究室内予算で実行可能なテーマであるかを考慮して決定します。

研究室の入室相談や研究の話を聞きたいかたは nakayama.shunya[アット]nihon-u.ac.jp までご連絡ください

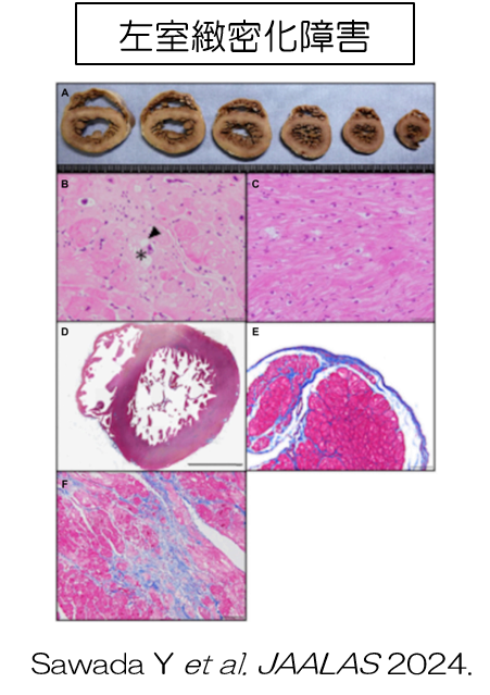
非ヒト霊長類を用いた循環器病態生理学に関する研究

非ヒト霊長類はヒトの疾患モデルとして、そしてワクチンや薬の前臨床試験などに多く用いられてきました。我々は循環器という専門性を活かし、希少な疾患を表現するモデルを抽出、作出することによってヒト医学研究の基盤を造っています。

•先天性心疾患の抽出と医科学応用

•代謝性疾患に付随する心疾患の病態生理学的研究

•自己免疫によって誘導される心疾患の機構解明

•遺伝性心疾患の関連遺伝子の探索

海棲哺乳類の循環器生理学に関する研究

鯨類や鰭脚類など、水中で生活する動物は世界中に広く生息しています。近年、過去の研究や我々の研究1)からイルカなどの水棲動物については心電図が異なることが明らかとなってきました。また、これらの野生動物では心臓疾患の検査法がまだあまり樹立されていません。我々は様々な動物を横断的に評価することで、これら鯨類や鰭脚類などの循環器検査系を開発しています。

•鯨類および鰭脚類の心臓形態に関する研究

•鯨類の心臓ホルモンに関する研究

•鯨類および鰭脚類の心電図波形の解析

•海棲哺乳類のための新規心診断マーカーの探索

鳥類における循環器生理学・病態生理学的研究

鳥類の心臓は哺乳類と同じ2心房2心室ですが、弁の構造など、多くの違いがあります。また、多くの鳥類は体が小さく、体重も軽いため、採血による侵襲が大きいことが知られています。そのため鳥類の心臓研究はほとんど行われていませんでした。それに伴い、心疾患もあまり報告されず、研究が行われていませんでした。

我々は鳥類の心臓を電気生理学的、血液学的、遺伝学的など多角的な側面から解明することで、疾患の存在を明らかにし、治療へ向けた橋渡しを進めていきます。

•小型鳥類における心電図波形の測定手法開発

•小型鳥類心音図の解析と疾患疫学解析

•鳥類における新規心診断マーカーの探索

•鳥類心疾患の病態学的解析

•ペンギン類の遺伝性心疾患の解析

* ハズバンダリートレーニングとは

ハズバンダリートレーニング(受診動作訓練)とは、条件付けなどの訓練を行うことで、動物自ら受診に参加してもらうトレーニングのことです。この方法では麻酔をつかったり、押さえつけたりすることなく、動物も人間も安全にストレスなく検査を行うことができます。

日本大学知財部(NUBIC)ページ

鳥類における外部因子による疾患の解析

ヒトには熱帯熱マラリアや3日熱マラリアなど、多くのマラリア感染症が知られています。マラリアは標的宿主に対する種特異性をもつことなどが明らかとなっています。近年、ペンギンなどの希少鳥類における鳥マラリア(鳥に特異的なマラリア原虫の一群)感染が問題となっています。我々は鳥マラリアに感染することによって起こるペンギンや小型鳥類における炎症メカニズムについて、実際の症例の集積によって現在研究を開始しています。まだまだ発展途上の研究ですので、さまざまなご支援やご協力をお待ちしています。

•小型鳥類における鳥マラリア原虫感染がもたらす病態メカニズムの解明

•ペンギン類における鳥マラリア原虫感染に起因する心疾患の病態学的解析

イルカ鳴音の発生機構と生理学的利用機構の研究

鯨類は超音波によってコミュニケーションをとるほか、採食や生活において利用しています。しかしながらその仕組ついてはまだ不明な点も多く存在します。我々はCTデータや実際にイルカ頭部を用いて行っている解析から超音波を発生し、それを利用する仕組みを明らかにしています。

キリン循環器に関する研究

キリンは以前より、高血圧な動物だと言われています2)。それは非常に長い首の先にある脳まで血流を維持するためと言われています。しかしながら、実際にそうなのでしょうか?また、水や食事を摂る場合には頭を下げますが、その時の血圧はどうなのでしょうか?実際に死体を使ったり3)、生体でも麻酔をしたり1)することで研究は行われていますが、正常時の血圧はまだわかっていません。我々はハズバンダリートレーニングと合わせて、キリンの本当の血圧を明らかにしていきます。

これまでの研究テーマ

動物における生殖生理学に関する研究

動物における泌尿器疾患に関する病態生理学的研究

3Dプリンターを用いた非侵襲的な標本作成と作成標本を用いた病態把握に関する研究

ICP-AES(誘導結合高周波プラズマ発光分光分析)による動物被毛中の元素分析に関する研究