NEWS
2026.02.10 研究ニュース
獣医放射線学研究室の合屋征二郎専任講師、獣医学科6年の竹田瑞基さん、日本大学付属動物病院の塩澤直子獣医師および石川智恵子獣医師により実施された研究成果が、Journal of Veterinary Cardiologyに掲載されました。
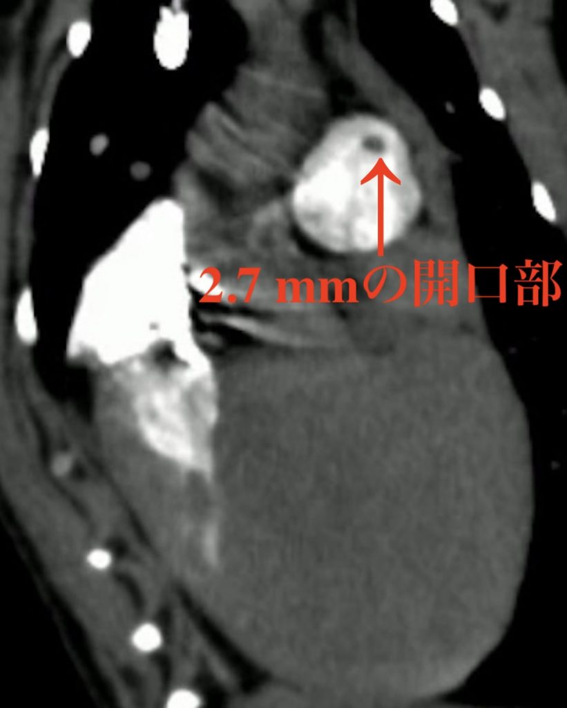
動脈管開存症は小型犬でよく認められる心奇形の1つで、全身に血液を送る大動脈と肺に血液を送る肺動脈をつなぐ動脈管が生後も開いたままになってしまう心疾患です。動脈管が肺動脈と連結している部分の穴(開口部)の大きさは重症度や治療方針を判断する上で重要ですが、既存の検査法ではこの大きさを正確に評価できない場合がありました。
そこで竹田らはContinuous HIgh-Enhanced COntrast (CHIECO)心電同期CT造影検査法を開発し、直径2.7 mmの僅かな開口部を明瞭に描出することに成功しました。この手法はまだ改良の余地はあるものの、これまで明瞭に撮影できなかった小型犬や猫などの先天性心疾患をより正確に評価可能になることが期待されます。
研究助成:本研究は、日本大学特別研究の助成を受けて実施されました。
論文のタイトル:The utility of continuous high-enhanced contrast electrocardiography-gated cardiac computed tomography method evaluating accurate minimal ductal diameter and ductus arteriosus morphology in a dog with patent ductus arteriosus
論文のURL:https://doi.org/10.1016/j.jvc.2026.02.001
