研究内容Research
岩礁性魚類メジナ・クロメジナの再生産機構


(左)メジナ (右)クロメジナ
メジナGirella punctataとクロメジナGirella leoninaは,スズキ目メジナ科に属する岩礁性魚類です.両種とも,沿岸漁業の対象種として重要であるだけでなく,磯釣りの対象種として人気を博しています.メジナにはグレ,クチブト,ジグロなど,クロメジナにはオナガグレやオナガなどといった異名があり,両種とも全国各地で親しまれております.両種の地理的分布域は広い範囲にわたり重複していますが,クロメジナの分布域の方が若干南方寄りであることが知られています.
潮間帯での稚魚採集
メジナ属については,本研究室の元教授である吉原喜好先生が下田臨海実験所を拠点にして1980年代から研究を進めてこられました.吉原先生のご退職後も研究室の主要テーマに据え,継続的に研究を進めております.吉原先生のご在職当時には,伊豆半島南東部の稚魚・若魚の生息状況が主なテーマとなっていましたが,その後は種子島,奄美大島,沖縄本島,さらには台湾といった南方海域の漁獲個体を収集し,黒潮流域全体を視野に入れてメジナとクロメジナの再生産機構を検討しています.
メジナ属の再生産機構を明らかにする上で,従来より大きな障壁になっていたのは稚魚期における種判別の難しさでした.両種の成魚については,尾鰭の形,鰓蓋後縁の色彩,鱗の数などの基準によって容易に判別することができるのですが,小さな稚魚にこれらの基準を適用するのはとても難しいのです.そこで糸井史朗先生(増殖環境学研究室)は,吉原先生と協力してmtDNAのPCR-RFLPにより両種を簡便に判別する手法を開発しました.この分子遺伝学的種判別法はとても効果的であり,伊豆半島南東部(下田)の沿岸域や相模湾におけるメジナとクロメジナの成育状況が鮮明になっていきました.
伊豆半島南東部では,クロメジナの稚魚は1–6月の長期にわたり出現していたのに対し,メジナの稚魚は4–7月に出現していました.一方,相模湾東部では,メジナの稚魚が4–8月に出現していたのに対し,クロメジナの稚魚はほとんど出現しませんでした.この結果から,メジナは春〜夏に伊豆半島沿岸や相模湾で成育するのに対し,クロメジナは相模湾で成育せず,黒潮にさらされる伊豆半島沿岸で冬〜初夏に成育することが示唆されました.
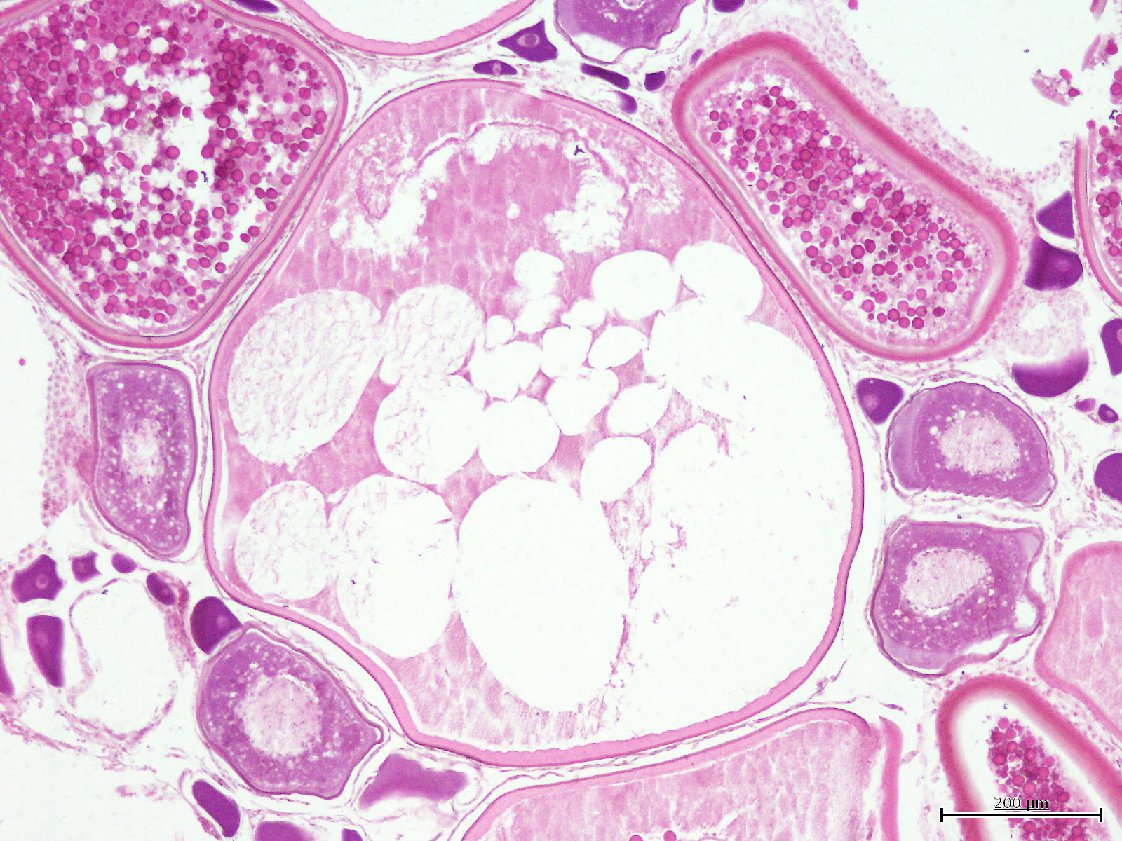
メジナ成熟卵
(染色組織)
それでは,成魚の産卵生態はどうなっているのでしょうか? 一般に,メジナの産卵期は2–6月,クロメジナの産卵期は11–12月であると考えられています.本研究室では,稚魚の出現状況が成魚の成熟状況と合致しているかを調べるため,両種の産卵期をまたぐ11–7月の期間に下田市場を介して成魚サイズのメジナ属魚類を収集し成熟度分析を実施しました.その結果,メジナの生殖腺は3–4月に良く発達し成熟していたのに対し,クロメジナの生殖腺は全く発達していませんでした.この結果から,メジナは伊豆海域で3–4月に生まれて付近に着底し,4–7月に潮間帯で成育するものと考えられます.一方,クロメジナは伊豆海域では産卵しておらず,伊豆海域の着底稚魚は他の海域から来遊した浮遊仔稚魚が着底したものであると考えられます.実のところ,クロメジナの産卵場については現在に至るまで報告例が無く,これほど知名度の高い魚でありながらクロメジナがどこで産卵しているのかは謎であったのです.
そこで本研究室では,クロメジナの産卵海域を突きとめるため,南方海域から成魚サイズの個体を収集し成熟度分析を実施してきました.その結果,黒潮上流域で漁獲された個体において完熟状態の卵細胞が検出されたのです.次の産卵期には南方海域の個体を更に収集して成熟度分析を実施し,クロメジナの産卵海域を明確にしていく予定です.研究は核心に近づいています.
主要成果論文
- Nakai et al. (2015) Spawning ecology of Girella punctata and G. leonina (Perciformes: Girellidae) in the coastal waters of the Izu Peninsula, Japan. Coastal Marine Science, 38, 1–9
- Takai et al. (2017) Sexual maturation of Girella punctata and G. leonina (Perciformes: Girellidae) in the neritic sea off the Pacific coast of Japan. Coastal Marine Science, 40, 7-16


